Ben jij klaar voor een stralende glimlach?
Ons Pakket
We bieden een uitgebreid pakket aan
All-inclusive pakket
Reis & verblijf
Heen- en terugreis (vlucht)
7 hotelovernachtingen met ontbijt
Vip transfer tussen Airport, hotel en kliniek
Consult met tandarts
Panoramische röntgenopname van je gebit
Tijdelijke facings gedurende behandeling
Lokale verdoving
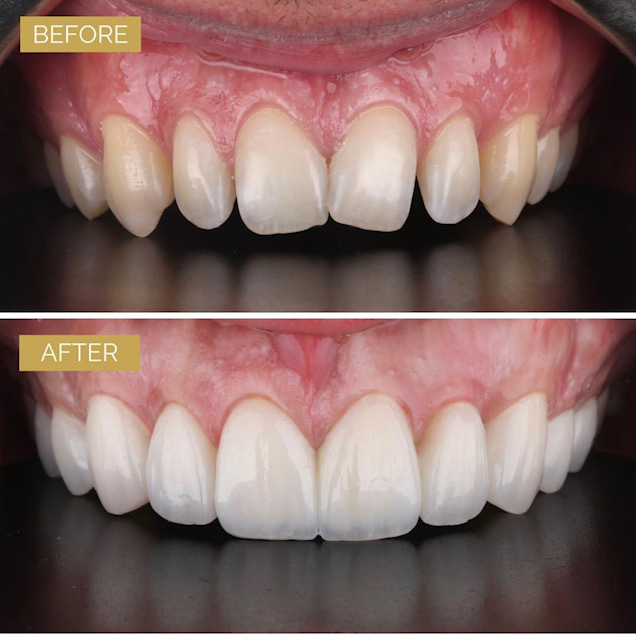
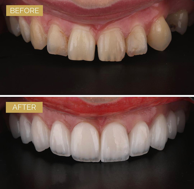
20 porseleinen facings
Veelgestelde vragen
Is een ‘Hollywood Smile’ hetzelfde als porseleinen veneers?
Dat klopt! Vineer is enorm populair in Hollywood, voornamelijk Hollywoord-sterren als Tom Cruis, Nicolas Cage, Ben Affleck etc. hebben ze gekregen. Daarom noemen ze fineer: Hollywood Smile.
Wat is een ‘Hollywood Smile’?
Hollywood Smile is een cosmetische ingreep die alle esthetische problemen van de tanden corrigeert. Inclusief facings, implantaten, bruggen of kronen. Het zorgt voor een volledige glimlach make-over.
Hoe realiseren jullie een Hollywood Smile?
Eerst kiezen we de juiste kleur en het glimlachontwerp. De tanden worden vervolgens gevijld om de glazuurlaag van de tanden te verwijderen. Hierdoor wordt er meer ruimte gecreëerd voor de veneers. Daarna worden er afdrukken gemaakt die naar het tandtechnische laboratorium worden gestuurd. Wanneer het klaar is, worden de veneers op de tanden bevestigd met behulp van veneercement. Dat zal zeer sterk worden. De patiënt krijgt plaatselijke verdoving en zal hierdoor geen pijn of ongemak ervaren tijdens de gehele procedure.
Hoe krijgen beroemdheden de behandeling voor hun tanden?
De meeste beroemdheden betalen veel geld om een mooie glimlach te krijgen. Ze hebben hun eigen vertrouwde cosmetische tandarts, die hen helpt om een rode loper glimlach te krijgen. Denk aan veneers, bleken, zichtbare- en onzichtbare beugels etc.
Wat betekent een Hollywood Smile?
Het staat voor een volledige glimlach make-over.
Is de behandeling van een Hollywood Smile pijnlijk?
De patiënten krijgen indien gewenst een plaatselijke verdoving. Deze verdoving zal ervoor zorgen dat de patiënt geen pijn of ongemakken ervaart tijdens de behandeling.
Hoe krijg ik Hollywoodachtige witte tanden?
Tanden bleken kan hierbij helpen. Bleek tandpasta’s die je in de lokale winkels verkrijgbaar zijn, kunnen ook werken. Maar als je direct resultaat wilt, ga dan voor veneren.
Zijn facings schadelijk voor je tanden
Geen schade aan het gebit
We zorgen voor facings op basis van de vorm van uw tanden, zodat deze op een goede manier passen en het nergens nodig is om deze te forceren. Dit betekent dat u zowel op de korte als de lange termijn geen rekening hoeft te houden met schade door de facings.
Hoelang blijft een Hollywood Smile zitten?
Veneers kunnen meer dan 10 tot 20 jaar meegaan met een goede mondhygiëne en regelmatige bezoeken aan de tandarts.
Is Hollywood tandenbleking veilig?
Ja, het is een veilige behandeling.
Is een Hollywood Smile permanent?
Nee, het kan 10 tot 20 jaar meegaan met de juiste mondhygiëne en zorg.
Wat is beter porselein of composiet?
Een porseleinen facing is minder gevoelig voor aanslag aan de tanden, gladder en geeft vaak een mooier cosmetisch effect. Het gaat ook veel langer mee en geeft een natuurlijker effect dan een facing van composiet. Een paar nadelen: porseleinen facings zijn een stuk duurder dan facings van composiet
Kunnen facings uitvallen?
Porseleinen facings gaan tot wel 15 jaar mee. Composiet facings 4 tot 8 jaar, composiet verkleurt sneller dan porselein. Facings slijten als u nagels bijt of knarst met uw tanden. Beschadigde facings kunnen altijd worden gerepareerd of vervangen, door deze behandeling beschadigt de tand zelf niet.
